8月23日,由江苏省版权局及江苏省工业和信息化厅联合组织的省优秀版权奖公布获奖名单。2019年江苏省优秀版权作品评选涵盖影视、文学、摄影和美术、舞台艺术、软件等6大类,苏州医工所戴亚康课题组开发的国科康成三维医学影像组织建模分析软件V1.0获得软件类省优秀版权奖。
该软件主要功能如下:
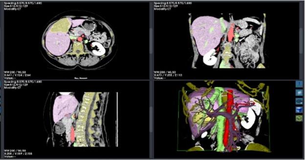
医学影像分割和建模功能;
医学影像和三维模型的可视化及分析功能;
多模态医学影像配准功能;
统一的人机交互方式及接口。
该软件具备以下特点:
支持不同厂商的DICOM医学影像数据;
单模态和多模态图像合二为一的显示方式;
易于扩展,易于升级维护;
基于虚拟现实和增强现实技术的可视化、人机交互和数据接口;
基于多核、多线程等高性能并行计算技术,具备较高的计算运行效率和处理速度。
该软件可应用于影像科、介入科、外科等的CT/MRI三维组织建模、医学3D打印组织建模、医疗虚拟现实仿真器官三维建模等。 江苏省优秀版权奖获奖名单公示网址:http://www.jsbqfw.com/

多模态影像联合显示

单模态影像显示与建模
附件下载: